咨询电话:4000-980-586

康安途海外就医 添加微信

常见疾病库

当前位置: 老挝康安医院 > 医疗新闻 > 肿瘤新闻 >
  • 肺癌骨转移有哪些症状

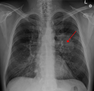
    肺癌骨转移有哪些症状

      肺癌骨转移是肺癌常见症状, 肺癌骨转移 早期尝尝被患者忽略,因为早期没有任何明显症状,到了肺癌骨转移晚期才会出现疼痛现象。       肺癌骨转移 是肺癌最常见的转移部位,尤其是小细胞肺癌和分化差的非小细胞肺癌,发生率在30%左右,多发生在中 ...

  • 曲美替尼(trametinib)对黑色素瘤的治疗机制

    曲美替尼(trametinib)对黑色素瘤的治疗机制

       曲美替尼 (trametinib)是FDA批准的抗癌药,用于治疗黑色素瘤。曲美替尼是MEK1和MEK2的酶抑制剂,由GSK研发,商品名Mekinist。2014年美国FDA批准MEK抑制剂曲美替尼和BRAF抑制剂达拉菲尼联合治疗BRAF V600E或V600K突变的不可手术或转移性黑色素瘤。该批 ...

  • 曲美替尼(Mekinist)对OCSCC的抗肿瘤活性很强

    曲美替尼(Mekinist)对OCSCC的抗肿瘤活性很强

      华盛顿大学医学院等研究人员对 曲美替尼 (Mekinist)治疗OCSCC的疗效进行了一项前瞻性试点研究,研究结果发现,曲美替尼治疗7-14周后,65%的患者疾病得到缓解,46%的患者有肿瘤代谢反应,53%的患者肿瘤分期下调。患者耐受性良好,最常见的副反应是皮疹 ...

  • 肺癌晚期症状有哪些

    肺癌晚期症状有哪些

      患了肺癌,很多的人并不会马上就察觉。而且肺癌的早期症状不是太明显,所以一般患者在发现自己患有肺癌时已经是中晚期了,那么 肺癌晚期症状 有哪些呢?      水肿:面、颈部水肿是 肺癌晚期症状 中比较常见的,若是肿瘤出现侵及纵隔右侧压迫上腔静脉 ...

  • 常见的肺癌早期症状

    常见的肺癌早期症状

      在肺癌病人中,咳嗽、咯血咳嗽是最常见的 肺癌早期症状 。咯血则最有诊断意义,多为痰中带血丝。凡呼吸道症状超过两周经治不愈,尤其是痰带血、干咳或老年慢性支气管炎病人,近期咳嗽声音或性质改变,要高度警惕肺癌的可能。由于咯血的量少或间歇出现, ...

  • 可能导致肺癌的原因有哪些

    可能导致肺癌的原因有哪些

      根据卫生部卫生统计信息中心和全国肿瘤防治研究办公室联合对肺癌的发病进行了统计分析,发现 肺癌 的主要危险因素有吸烟、新鲜蔬菜摄入少、呼吸系统疾病史、体质指数低、心理因素、厨房油烟、大气污染等,在被调查的京沪等8个城市中,90%左右的肺癌发病 ...

  • 达拉非尼(dabrafenib)可降低黑色素瘤患者复发风险

    达拉非尼(dabrafenib)可降低黑色素瘤患者复发风险

      研究人员发现BRAF抑制剂达拉非尼( dabrafenib )联合MEK抑制剂曲美替尼可改善BRAF V600突变晚期黑色素瘤患者生存。为了明确找到达拉非尼联合曲美替尼是否可提高BRAF V600突变的可切除III期黑色素瘤患者疗效,研究人员进行了相关的试验。在这项双盲、安 ...

  • 达拉非尼(Tafinlar)用于治疗非小细胞肺癌(下)

    达拉非尼(Tafinlar)用于治疗非小细胞肺癌(下)

      在 达拉非尼(Tafinlar)用于治疗非小细胞肺癌(上) 中介绍了达拉非尼和曲美替尼联用,治疗BRAF突变非小细胞肺癌,下面康安途为大家介绍临床试验的效果。2016年的ASCO年度会议报道了第二组患者的最新结果,并发表在《The Lancet Oncology》杂志上。早期的 ...

  • 达拉非尼(Tafinlar)用于治疗非小细胞肺癌(上)

    达拉非尼(Tafinlar)用于治疗非小细胞肺癌(上)

      FDA批准 达拉非尼 (Tafinlar)和曲美替尼(Mekinist)联用治疗BRAF V600突变呈阳性的晚期或转移性非小细胞肺癌(NSCLC)患者。2015年,FDA授予这两种药物联用的突破性疗法认定,用于治疗预后较差的BRAF V600E突变的非小细胞肺癌患者。欧盟于同年4月批准 ...

  • 威罗菲尼(vemurafenib)联合治疗黑色素瘤表现好

    威罗菲尼(vemurafenib)联合治疗黑色素瘤表现好

      罗氏公布的一项III期临床研究结果显示,MEK抑制剂Cobimetinib联合BRAF抑制剂 威罗菲尼 (vemurafenib)能有效延长BRAF V600基因突变晚期黑色素瘤患者的生命,同时能控制疾病进一步恶化。美国 FDA 已于 2011 年 8 月正式批准罗氏公司 Zelboraf 用于 BRAF ...

  • 哪些是肺癌早期症状

    哪些是肺癌早期症状

      肺癌,它高居全球癌症首位,很多病人认为肺癌一定会有咳嗽、咳痰和痰中带血的表现,其实这样的观点并不正确。 肺癌早期症状 不明显,容易被误诊、漏诊,只有当肿瘤比较大,对周围组织的侵犯较多或出现远隔脏器转移时,才会有较为明显的症状。而肺癌所致 ...

  • 威罗菲尼(Zelboraf)治疗转移性黑素瘤研究

    威罗菲尼(Zelboraf)治疗转移性黑素瘤研究

      加州大学洛杉矶分校的Jonsson综合癌症中心的研究人员表示,结合批准的BRAF抑制剂, 威罗菲尼 (Zelboraf)与工程化T细胞免疫治疗治疗转移性黑素瘤显着增加了动物模型中的肿瘤反应和存活率。接受联合治疗的研究中的动物具有更好的肿瘤反应,并且比单次获 ...

  • 肺癌脑转移五年生存率

    肺癌脑转移五年生存率

      在大多数人的意识里,癌症就代表着绝望与死亡。但据中国工程院院士、中国医学科学院肿瘤医院孙燕教授2011年介绍:肿瘤科医生患癌后, 80%都得到了治愈(5年生存)特别是一些发生 肺癌脑转移 ,目前依然带瘤生存。。而国家癌症中心全国肿瘤防治研究办公室 ...

  • 狄迪诺塞麦(Denosumab)批准用于前列腺癌骨质疏松

    狄迪诺塞麦(Denosumab)批准用于前列腺癌骨质疏松

      骨质疏松是一种骨骼系统全身性、退化性的病变,其特征体现在患者的骨微结构遭到破坏、骨量减少。当下,我国已经成为全球骨质疏松症患者最多的国家,其严重性仅次于心血管疾病。据全国性大规模流行病学调查显示,国内骨质疏松症总患病率为12.4%,老年人患 ...

  • 狄迪诺塞麦(Xgeva)预防癌症患者骨折

    狄迪诺塞麦(Xgeva)预防癌症患者骨折

      随着人们年龄的增长,骨折的风险就越大,无论是髋关节、手腕、椎骨、脚踝或脚趾等部位。对于生活在癌症诊断后的女性和男性来说,骨折的风险在圣安东尼奥乳腺癌研讨会上,维也纳的Michael Gnant博士给了对其减少骨折的能力的重大考验。该药的生产和销售的 ...

  • 肺癌鳞癌的检测方法有哪些?

    肺癌鳞癌的检测方法有哪些?

      生物标志物只是辅助诊断手段肺癌常用的肿瘤标志物主要有癌胚抗原CEA:一种人类胚胎抗原决定簇的酸性糖蛋白。5-10%的肺癌患者血清CEA水平升高。CYFRA-211(细胞角质片段抗原-211),是目前研究非常活跃的一个新的肺癌标志物,尤其是鳞癌。神经性特异性烯 ...

  • 吸烟与不吸烟肺癌晚期症状相似治疗效果不同

    吸烟与不吸烟肺癌晚期症状相似治疗效果不同

      烟草是造成肺癌的主要原因,吸烟人群一般在肺癌早期都不注意,到了 肺癌晚期症状 明显才去检查。有报告显示,被动吸烟人群中,82%在家庭中、67%在公共场所、35%在工作场所接触二手烟。其中,因年龄、性别和职业的不同,市民在各类场所接触二手烟的比例也 ...

  • 服用泊马度胺(pomalidomide)的注意事项(下)

    服用泊马度胺(pomalidomide)的注意事项(下)

      在 服用泊马度胺(pomalidomide)的注意事项(上) 中提到了孕妇不能服用泊马度胺,还有哪些人群在服用泊马度胺( pomalidomide )时需要注意呢?泊马度胺(pomalidomide)治疗期间及治疗完成至少4周内必须避免妊娠。在使用泊马度胺(pomalidomide)之前4周 ...

  • 服用泊马度胺(pomalidomide)的注意事项(上)

    服用泊马度胺(pomalidomide)的注意事项(上)

      多发性骨髓瘤是一种血癌,主要影响老龄人群(大多患者年龄>40岁),男女比例为1.6:1,自骨髓的浆细胞诱发。据美国国家癌症研究院估计,每年约有2.17万名美国人被诊断出患有多发性骨髓瘤,1.071万名死于这种疾病。那么多发性骨髓瘤患者使用硼替佐米和来 ...

  • 恩杂鲁胺(enzalutamide)在市场上的占有率

    恩杂鲁胺(enzalutamide)在市场上的占有率

      美国制药巨头辉瑞(Pfizer)最近以140亿美元收购抗癌药开发商Medivation成为医药产业最火爆的头条新闻,2012年公司第一个药物 恩杂鲁胺 (enzalutamide)获批上市,雄性激素受体抑制剂可以阻断肿瘤细胞雄性激素受体信号通路传导,2005年从UCLA大学引进该项 ...

添加康安途医学博士免费咨询

已有 127822 名患者成功添加
专业医学博士,7*24小时响应服务需求,用药参考,前沿治疗,报告解读等解决您在治疗过程中遇到的所有问题。

频道栏目

最新文章

本周热门文章
咨询电话

微信咨询

微信

扫描二维码
免费咨询医学博士