咨询电话:4000-980-586

康安途海外就医 添加微信

常见疾病库

当前位置: 老挝康安医院 > 医疗新闻 > 肿瘤新闻 >
  • 乳腺癌的发病原因有哪些该如何避免

    乳腺癌的发病原因有哪些该如何避免

      现在乳腺癌的发病率越来越高,年龄也越来越年轻化,面对这样的一种恶性疾病,女性朋友不得不重视保健工作。那 乳腺癌的发病原因 都有哪些呢?遗传因素。有研究发现,如果其母亲在绝经前曾患双侧乳癌的妇女,自身患乳腺癌的危险性为一般妇女的9倍,而且乳 ...

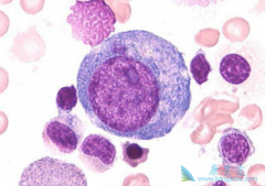
  • 什么是骨髓增生异常综合征?骨髓增生异常综合征治疗方法有哪些?

    什么是骨髓增生异常综合征?骨髓增生异常综合征治疗方法有哪些?

       骨髓增生异常综合征 是一组起源于造血干/祖细胞的获得性克隆性疾患。近年来,骨髓增生异常综合征的发病率不断升高,而且此病的危害很大,严重的患者可出现造血功能衰竭,甚至会转化为白血病。所以患者们一定要把握好骨髓增生异常综合征的治疗时机,及时 ...

  • 印度仿制药希罗达( 卡培他滨)价格贵吗?多少钱一盒?

    印度仿制药希罗达( 卡培他滨)价格贵吗?多少钱一盒?

      原研药 希罗达价格 昂贵,普通家庭承受不了,患者纷纷转身选择印度希罗达,印度版本的卡培他滨(希罗达)跟国内的稍微有点区别,在规格上,所以价格上也有所差异,下面就印度希罗达多少钱一盒?给大家详细介绍一下。印度卡培他滨是印度官方统一定价的, ...

  • 卡培他滨(希罗达)的药理原理是如何作用于患者

    卡培他滨(希罗达)的药理原理是如何作用于患者

      卡培他滨( 希罗达 )的药理作用为:正常细胞和肿瘤细胞都能将5-FU代谢为5-氟-2-脱氧尿苷酸单磷酸(FdUMP)和5-氟尿苷三磷酸(FUTP)。这些代谢产物通过二种不同机制引起细胞损伤。首先,FdUMP 及叶酸协同因子N[sup]5,10[/sup]-亚甲基四氢叶酸与胸苷酸合成 ...

  • 比卡鲁胺片可用于前列腺癌晚期治疗吗?

    比卡鲁胺片可用于前列腺癌晚期治疗吗?

      前列腺癌是男性常见的肿瘤性疾病,近年来患病人数有不断上升的趋势,因此大家都要有所警惕,毕竟,前列腺癌对人体生命健康还是会造成一定的影响。前列腺癌早期一般没有任何征兆,以致于常常被忽视。当出现血尿、骨痛时大都到了 前列腺癌晚期 。目前对于 ...

  • 服用阿拉曲唑片后能给宝宝喂奶吗

    服用阿拉曲唑片后能给宝宝喂奶吗

      很多喂母乳的患者想知道,服用阿那曲唑后,还能给宝宝喂奶吗? 阿那曲唑片 口服吸收较快,在体内约40%阿那曲唑与血浆蛋白结合,大部份代谢成无活性产物经尿排除,约10%阿那曲唑以原形从尿排除。据资料报道,健康受试者口服本品2mg后,血药浓度达峰时间为 ...

  • 骨髓瘤能治好吗?目前面临的困境是什么?

    骨髓瘤能治好吗?目前面临的困境是什么?

      多发性骨髓瘤发病率位居成人造血系统恶性肿瘤的第2位,如此看来,发病率还是挺高的。那么 骨髓瘤能治好吗 ?迄今为止仍然不可治愈。虽然大部分骨髓瘤不适合异基因移植,但是相对年轻的患者是自体移植的适应症,可以极大延长患者生存,虽然达不到治愈的地 ...

  • 白血病的治疗方法有哪几种?哪种治疗方法比较有效?

    白血病的治疗方法有哪几种?哪种治疗方法比较有效?

      说到白血病,就会涉及到很多种类型,不同的时期。和普通疾病一样,白血病可以分为急性期和慢性期,从形态上,又可以分为多种类型。今天,小编将要为大家介绍的就是急性髓性白血病(AML),这种类型的白血病大都发生在成人中,对于此类白血病常用的治疗方 ...

  • 多发性骨髓瘤饮食该如何调整?有哪些注意事项?

    多发性骨髓瘤饮食该如何调整?有哪些注意事项?

      多发性骨髓瘤属血液系统恶性肿瘤,大部分病人在诊断前或大剂量化疗时存在食欲下降、减重,严重者短期体重下降5-10kg,而患需要营养支持治疗,所以患了 多发性骨髓瘤饮食 需要多加注意。一、食物多样 谷类为主。每天膳食应包括谷薯类、蔬菜水果类、鱼禽畜 ...

  • 进口力比泰(培美曲塞二钠)副作用与仿制的有什么区别吗

    进口力比泰(培美曲塞二钠)副作用与仿制的有什么区别吗

      由美国礼来公司生产的力比泰( 培美曲塞二钠 )新适应症“晚期或转移性非小细胞肺癌非鳞癌二线及维持治疗”在中国正式获批,给晩期或转移性非小细胞肺瘟患者多带来一份希望。中国医学科学院肿瘤医院石远凯教授认为,目前,力比泰在非鳞痘里面的疗效,在线 ...

  • 印度力比泰(培美曲塞二钠)价格多少?患者如何购买?

    印度力比泰(培美曲塞二钠)价格多少?患者如何购买?

      力比泰( 培美曲塞二钠 )联合顺铂用于治疗无法手术的恶性胸膜间皮瘤。国内已上市的力比泰(培美曲塞二钠)0.2g价格为每支4200元;0.5g每只,8470元。贵的有12254元和13397元两种。抗癌药物本身在国内的售价就一直居高不下。值得我们期待的也只有印度了,印度 ...

  • 阿那曲唑片可以延缓乳腺癌的发展

    阿那曲唑片可以延缓乳腺癌的发展

       阿那曲唑 是一种治疗乳腺癌的抗雌性激素。这种药剂是第三代新型选择性口福芳香化酶抑制剂的一种。它通过阻断芳香化酶来起作用,从而减少体内雌性激素的生成。因为很多种乳腺癌细胞都是被雌性激素刺激产生的,所以减少体内的雌性荷尔蒙可以延缓乳腺癌的 ...

  • 阿那曲唑片治疗晚期乳腺癌有疗效吗

    阿那曲唑片治疗晚期乳腺癌有疗效吗

      治疗乳腺癌,目前的用药是 阿那曲唑 ,阿那曲唑片是一款针对乳腺癌的药物,但是很多人对它不是很了解,或害怕它的副作用,对它存在着一些用药疑惑和误区。所以这期小康将会结合相关的资料,帮助大家更好的认识和使用这个药。   一、阿那曲唑片的基础知 ...

  • 骨髓瘤症状有哪些?不治疗的话骨髓瘤能活多久?

    骨髓瘤症状有哪些?不治疗的话骨髓瘤能活多久?

      骨髓瘤,是一种恶性肿瘤,是长在骨髓中的一种恶性肿瘤。由于恶性浆细胞瘤有部分长在骨髓里,有一部分是在骨髓外,一半患者在抽骨髓时会发现,因此骨髓瘤也是一种恶性浆细胞瘤。那临床上 骨髓瘤症状 表现有那些呢?由于骨髓瘤占领了骨髓造血空间,所以60% ...

  • 晚期多发性骨髓瘤症状体现在哪些方面

    晚期多发性骨髓瘤症状体现在哪些方面

      早期多发性骨髓瘤不加以控制就会发展成晚期,对患者的身体会造成更多的危害。晚期 多发性骨髓瘤症状 具体有以下几点。骨骼病变。骨髓瘤细胞浸润,并分泌破骨细胞激活因子,可导致溶骨性损害,2/3以上患者,以骨痛为主要的首发症状,常见于胸部及腰背部, ...

  • 印度仿制药力比泰(Alimta )治疗效果如何

    印度仿制药力比泰(Alimta )治疗效果如何

      力比泰( Alimta )被美国FDA批准作为恶性胸膜间皮瘤的一线药物和非小细胞肺癌一线和二线标准用药,2005年在中国上市。力比泰是一种多靶点抗叶酸制剂,对多种肿瘤有抑制作用。近年来已成为非小细胞肺癌二线治疗的新策略。有临床研究采用力比泰联合GP方案 ...

  • 多发性骨髓瘤复发的表现有哪些?复发后该如何治疗?

    多发性骨髓瘤复发的表现有哪些?复发后该如何治疗?

       多发性骨髓瘤 复发有哪些表现?绝大多数多发性骨髓瘤复发时的表现和最初发病时相似,比如骨痛、贫血、肾功能不全等,但是也有一部分患者复发时主要表现为出现髓外浆细胞瘤的症状(比如鼻塞、鼻衄、声嘶、咯血、流泪、面部肿胀、嗅觉下降、呼吸困难等) ...

  • 早期多发性骨髓瘤的症状具体是怎么样的

    早期多发性骨髓瘤的症状具体是怎么样的

      多发性骨髓瘤的病情如果不加以控制会不断的严重,而且这种骨髓瘤一定要采取手术的方法进行治疗。早期的时候会出现非常明显的骨痛现象以及严重的损伤,很多人都不上心,从而错过了最佳治疗时间。那么早期 多发性骨髓瘤的症状 到底是怎么样的呢?如何才能提 ...

  • 瑞宁得(阿那曲唑)有什么作用?阿那曲唑的用药注意

    瑞宁得(阿那曲唑)有什么作用?阿那曲唑的用药注意

       瑞宁得 (阿那曲唑)有什么作用?这个药物适用于绝经后妇女在晚期乳腺癌的治疗。对雌激素受体阴性的病人,若其对他莫昔芬呈现阳性的临床反应,可考虑使用本品。适用于绝经后妇女雌激素受体阳性的早期乳腺癌的辅助治疗。那么服用阿那曲唑都有哪些禁忌呢? ...

  • 患者使用力比泰可以缓解减轻肺癌患者不良反应吗

    患者使用力比泰可以缓解减轻肺癌患者不良反应吗

      力比泰( Alimta )联合顺铂用于治疗无法手术的恶性胸膜间皮瘤。同时对于晚期的非小细胞肺癌具有很好的效果。晚期非小细胞肺癌的临床表现其中咳嗽,疼痛是明显的症状。一般顺带的不良反应还有恶心、呕吐、便秘、食欲不振、体重下降、疲劳、皮肤苍白、头 ...

添加康安途医学博士免费咨询

已有 127822 名患者成功添加
专业医学博士,7*24小时响应服务需求,用药参考,前沿治疗,报告解读等解决您在治疗过程中遇到的所有问题。

频道栏目

最新文章

本周热门文章
咨询电话

微信咨询

微信

扫描二维码
免费咨询医学博士